ADRESSE

Wien 1100, Senefeldergasse 62/11

TELEFON

01-604-77-09

E-MAIL

boehler@max-boehler.at

 

Wissenswertes

Statistische Daten von orthopädischen Krankheitsfällen pro Jahr in Österreich
  • 173,7 Fälle pro 1.000 Krankenstände wegen  Krankheiten des Skeletts, der Muskeln und des Bindegewebes
  • 1,0 Mio. Männer und 1,2 Mio. Frauen  mit Wirbelsäulenbeschwerden
  • 10,1%  Krankheiten des Muskel-Skelett-Systems  Entlassungsdiagnosen aus Akut-Krankenanstalten
  • 301.972   Operationen am Bewegungsapparat
Hüftprothese

Die Hüftoperation bei Abnützungserkrankungen des Hüftgelenks wird in der übergrossen Anzahl der Fälle mit sogenannten zementfreien Prothesen durchgeführt , was bedeutet , dass die beiden Prothesenteile, also Pfanne und Schaft direkt in  Hüft und Oberschenkelknochen verankert werden können.
Dies ist zum einen durch passgenaue Fräsvorgänge der Knochen und zum anderen durch besondere Merkmale der Prothesenform selbst und der Oberflächen der Prothesen möglich. In Kombination mit der Keramik/Keramik Eigenpaarung , die für eine grosse Verschleißfestigkeit schon über Jahrzehnte bekannt ist ( siehe eigene Publikationen – Wissenschaftliche Tätigkeit) ist damit eine dauerhafte,stabile Verankerung und eine gute Funtion gewährleistet.

Bild anklicken zum Vergrössern

Knieprothese

Welcher Typ einer Knieprothese für die Behandlung der Kniegelenksarthrose verwendet wird hängt neben dem Patientenalter vorwiegend davon ab, welche Teile des Gelenks abgenützt sind. So können bei isolierten Abnützungen des inneren Gelenksteils sogenannte Schlittenprothesen ( linkes Bild) und bei Abnützungen des gesamten Gelenks Totalprothesen  (mittleres Bild) eingesetzt werden: In besonders schweren Fällen von Fehlstellung in Kombination mit fehlender oder unzureichender Bandstabilität werden auch immer wieder sogenannte achsegeführte oder gekoppelte Prothesenmodelle (rechtes Bild) eingesetzt.

Bild anklicken zum Vergrössern

Arthroskopie

Bild anklicken zum Vergrössern

Arthrose des Kniegelenks

Die Arthrose des Kniegelenks ist ein schmerzhafter, deformierender Vorgang am Kniegelenk der durch Knorpelschwund Fehlstellung (X-Bein, O-Bein), Gelenksschwellung und Bewegungseinschränkung gekennzeichnet ist. Wenn konservative Behandlungsversuche fehlschlagen (siehe Rubrik Wissenswertes) ist oft der letzte Ausweg für den Patienten und den behandelnden Orthopäden die Gelenkersatzoperation (siehe Rubrik Leistungen).

Bild anklicken zum Vergrössern

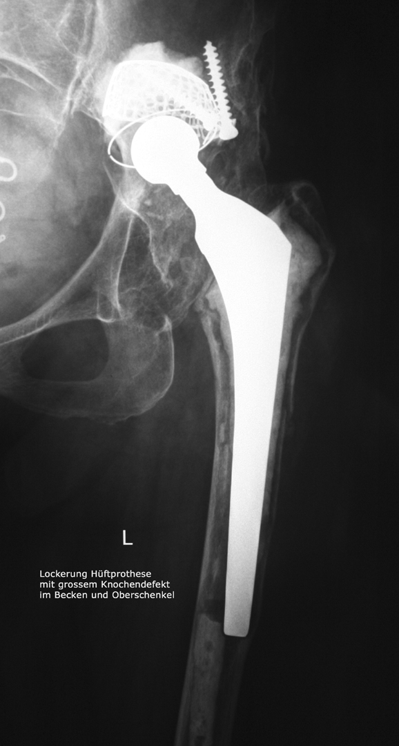
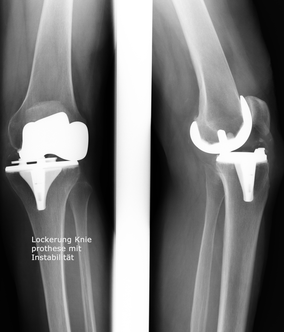
Reoperationen von gelockerten Gelenksprothesen

Reoperationen von gelockerten Gelenksprothesen sind anspruchsvolle operative Eingriffe , bei denen die Erfahrung des Operateurs und die Gabe zur richtigen Einschätzung der optimalen Versorgungsform von grosser Bedeutung ist. Reoperationen können dann erforderlich werden, wenn das Gefüge zwischen Knochen und Prothese aufgelockert wird – so kann eine Entzündung, ein vermehrter Abrieb der Prothesenteile, ein Bruch des die Prothese umgebenden Knochens aber auch Verletzungen der Weichteile eine Prothesenlockerung verursachen. Rasches Handeln ist dann angezeigt wenn der Patient über Schmerzen klagt, Röntgenuntersuchungen die Änderung der Prothesenposition
erkennen lassen oder Spezialuntersuchungen wie zum Beispiel eine Szintigraphie Hinweis auf eine Prothesenlockerung geben. Der operative Eingriff selbst ist für den Patienten belastend aber nur durch rasches Handeln kann die weitere Zerstörung von Knochen und Weichteilen verhindert werden.

Bild anklicken zum Vergrössern

Computernavigation

Die Computernavigation ist ein Operationsverfahren, bei dem mit Hilfe eines neben dem Operationstisch stehenden Computers, der mit einer Infrarotkamera kombiniert ist, unzählige anatomische und biometrische Daten des Kniegelenks während des operativen Eingriffs in Echtzeit – also unmittelbar – erfasst werden können. Mit dieser Operationstechnik ist es möglich, durch höchste Präzision die intraoperative Überprüfung aller Operationsschritte durchzuführen. Für den Operatuer ergibt sich durch die Anwendung dieses Systems eine grösstmögliche Sicherheit im Erreichen eines optimalen Operationsergebnisses. Für den Patienten resultiert die Verwendung der Knienavigation als Operationshilfe in einer geraden Beinachse, einer guten postoperativen Beweglichkeit und Stabilität.

Bild anklicken zum Vergrössern

Schlüssellochtechnik

Bei der sogenannten Schlüssellochtechnik ist es durch die Verwendung spezieller anatomischer Zugänge und adaptierter Instrumente möglich, trotz kleinem Hautschnitt von 8 -10 cm die Hüftprothesen zementfrei einzusetzten. Der Patient erlangt damit rascher wieder volle Mobilität bei einer deutlichen Verbesserung der Beweglichkeit. Der minimalinvasive Eingriff wird routinemässig bei fast allen Patienten durchgeführt.

Bild anklicken zum Vergrössern

Derzeitiger Stand der Arthrosebehandlung

Sowohl die Arthrose des Hüftgelenks als auch die Arthrose des Kniegelenks haben vielfältige Entstehungsursachen. Angeborene Fehlentwicklungen oder Fehlstellungen können genauso Ursache für die Arthroseentstehung  sein wie Überlastung, Entzündung aber auch genetische Faktoren.

Die Behandlung der beginnenden Arthroseschmerzen besteht aus konservativen Maßnahmen  wie physikalischer Therapie, medikamentöser Therapie systemisch   – also in Tablettenform –  lokal in Salbenform oder als sogenannte intraartikuläre Verabreichung von sogenannten chondroprotektiven Substanzen wie zum Beispiel die Hyaluronsäure in Injektionsform

Bei Nichtansprechen der konservativen Therapiemaßnahmen können in Fällen mit noch geringer radiologischer Veränderung und guter  Beweglichkeit  der betroffenen Gelenke weitere, dann jedoch invasiver Maßnahmen zur Therapie erforderlich sein.  So kann sowohl bei Hüfte als auch Kniegelenk eine arthroskopische Operation – also ein wenig invasiver Eingriff – die Schmerzen dauerhaft lindern.

Umstellungsoperationen von Hüfte und Knie können durch die Behebung einer Fehlstellung oder durch die Verbesserung einer schlecht entwickelten Hüftgelenkspfanne das Gelenk erhalten und so die Funktion verbessern helfen.

Am Ende einer langen Reihe von gelenkserhaltenden Maßnahmen wird wohl  bei den meisten Fällen  das Einsetzten einer Gelenksprothese als Teil oder Totalprothese die letzte Möglichkeit sein um die oft heftigen Schmerzen zu beheben.

Über 30.000 Knie und Hüftprothesen ,  60000 Schulter und  eine geringere Anzahl Sprunggelenksprothesen werden jährlich in Österreich für die Behandlung von Gelenksschäden verwendet.

Diese Prothesenoperationen ermöglichen den Patient/innen bei erfolgreicher Operation eine Schmerzfreiheit, eine bessere Funktion als vorher und damit eine Verbesserung der Lebensqualität insgesamt.

Hochgerechnet werden aber bei zirka 10 % dieser Patienten diese Prothesen dann auch aus unterschiedlichsten Gründen wieder bei  Reoperationen ausgetauscht oder kurzzeitig oder für immer entfernt. Daher muss die Entscheidung zu dieser Gelenksersatzoperation sehr streng getroffen werden.

Alle oben genannten Behandlungen kann ich an Ihnen durchführen um  Ihre Gelenksbeschwerden auszuschalten.

Was passiert bei Osteoporose?

Bei Osteoporose ist die Anzahl der Knochenbälkchen im Knocheninnern (Spongiosa) und deren Verknüpfung untereinander vermindert. Auch die äußere Knochenschicht (Kortikalis) ist oft dünner als bei einem gesunden Knochen. Daher hat die Osteoporose-Patientin/der Osteoporose-Patient ein größeres Risiko, bei Stürzen oder im Zusammenhang mit alltäglichen Tätigkeiten (wie z.B. Heben oder Tragen) einen Knochenbruch zu erleiden.

Wie kann man das Knochenbruchrisiko einschätzen?

Wie hoch das Knochenbruch-Risiko einer Osteoporose-Patientin/eines Osteoporose-Patienten wirklich ist, kann anhand bestimmter Risikofaktoren eingeschätzt werden. Risikofaktoren für Knochenbrüche sind :

• Lebensalter und Geschlecht
• Verminderung der Knochendichte
• erbliche Vorbelastungen
• bestimmte andere Erkrankungen
• Einnahme knochenschädigender Medikamente
• vorliegende Knochenbrüche
• Sturzgefährdung

Ein Risikofaktor für sich allein betrachtet (z.b. die Knochendichte) kann das Knochenbruchrisiko dabei in der Regel nicht ausreichend abbilden. Denn bei gleicher Knochendichte hat zum Beispiel eine 80-jährige Frau ein etwa 10-fach höheres Knochenbruch-Risiko als eine 50-jährige Frau. Frauen allgemein sind deutlich gefährdeter sich Knochen zu brechen als Männer.

Das Knochenbruchrisiko einer Patientin/eines Patienten ist entscheidend für die ärztliche Entscheidungsfindung in Hinblick auf

• das Einleiten von Abklärungsuntersuchungen’
• eine mögliche medikamentöse Behandlung der Osteoporose

Wem wird eine Osteoporose-Abklärung empfohlen?

Folgende Personen sollten eine Osteoporose-Abklärung vornehmen, da sie ein hohes Knochenbruchrisiko haben:

• Frauen ab 70 und Männer ab 80 Jahren
• Frauen und Männer, die sich im Rahmen einer alltäglichen Situation
bereits  einen oder mehrere Wirbelkörper gebrochen haben
• Frauen ab 60 und Männer ab 70 Jahren mit folgenden Risiken:
– Untergewicht (Body-Mass-Index < 20)
– Nikotinkonsum (Rauchen, Schnupftabak)
– Bruch von Arm, Fuß, Bein, Rippen oder Becken
– (Ober)Schenkelhalsbruch von Vater oder Mutter
– mehr als zwei Stürze im Jahr ohne äußeren Anlass
– Immobilität (eingeschränkte Gehfähigkeit <100 m)

• Frauen und Männer, die an bestimmten Krankheiten leiden oder längerfristig
bestimmte Medikamente einnehmen:
• Erwachsene in jedem Lebensalter
– die länger als drei Monate hochdosiert kortisonartige Tabletten einnehmen
– mit einer Überfunktion der Nebenniere
– mit einer Überfunktion der Nebenschilddrüsen Frauen ab 50 und Männer ab 60 Jahren
– die niedrig dosiert mit kortisonartigen Tabletten behandelt werden
– mit Wachstumshormon-Mangel bei Erkrankung der Hirnanhangsdrüse
– die mit Glitazonen bei Diabetes mellitus Typ 2 behandelt werden (gilt nur für Frauen)

• Frauen ab 60 und Männer ab 70 Jahren
– nach einer weitgehenden oder kompletten Entfernung des Magens
– mit rheumatoider Arthritis
– die an Epilepsie leiden
– mit Diabetes mellitus Typ 1
– mit Überfunktion der Schilddrüse
– die sturzbegünstigende Medikamente wie Schlafmittel oder Antidepressiva einnehmen
– unter Behandlung mit Aromatasehemmern nach Brustkrebs
– unter antihormoneller Behandlung nach Prostata-Karzinom

Wie verläuft eine Osteoporose-Abklärung?

Zunächst wird in einem Arzt-Patientengespräch und anhand einer körperlichen Untersuchung das Osteoporose- und Knochenbruch-Risiko der Patientin/des Patienten ermittelt.

• Prüfung von altersunabhängigen Risiken (wie z.B. Untergewicht, Nikotinkonsum oder erbliche Belastung)
• Beurteilung der Sturzgefährdung der Patientin/des Patienten  (anhand von Koordinations- und Sturztests)
• Frage nach sturzbegünstigenden oder knochenschädigenden Krankheiten bzw. Medikamenten
• Frage nach möglichen Folgeerscheinungen einer OsteoporoseErkrankung (Schmerzen oder körperliche Einschränkungen nach Knochenbrüchen)

Sollte sich ein Osteoporose- und Knochenbruch-Risiko bestätigen, erfolgt eine Knochendichtemessung mittels der DXA-Methode an der Lendenwirbelsäule und an der Hüfte. Die Messung klärt in der Regel, ob eine Osteoporose vorliegt. Aber nur in Kombination mit den anderen Risikofaktoren (wie Alter oder Geschlecht) ermöglicht sie eine Aussage über den Nutzen einer medikamentösen Behandlung der Osteoporose auf der Grundlage des vorliegenden Knochenbruch-Risikos. Alle anderen Knochendichte-Messmethoden (wie z.B. Ultraschall, Computertomographie) haben in diesem Punkt (von Einzelfällen abgesehen) eine eingeschränkte Aussagekraft.

Vermutet der Arzt, dass bei der Patientin/dem Patienten bereits ein Wirbelkörperbruch vorliegt, kann er eine Röntgen-Untersuchung (oder ein anderes bildgebendes Verfahren) der Wirbelsäule veranlassen. Bei einer niedrigen Knochendichte wird er zudem auch eine Blutuntersuchung veranlassen, um sicherzustellen, dass die Patientin/der Patient an keiner anderen (Knochen-)Erkrankung leidet, die anders oder umfassender behandelt werden müsste. Zudem ist eine Überprüfung der Nierenfunktion anhand des Blutbildes vor einer Behandlung mit Osteoporose-Medikamenten wichtig. Denn die meisten der Osteoporose-Medikamente sind bei hochgradiger Nierenschwäche nicht zugelassen.

Wie kann Osteoporose behandelt werden?

Für die Behandlung der Osteoporose werden folgende Basismaßnahmen empfohlen:

• Ausreichende Versorgung mit Kalzium und Vitamin D
• Vermeidung von Untergewicht
• Vermeidung von Nikotin (Rauchen, Schnupftabak)
• Training der Muskelkraft und Balance mit dem Ziel, die Stand- und Gangsicherheit zu verbessern. Als fördernd wird auch das sogenannte Funktionstraining in Osteoporose-Selbsthilfegruppen angesehen
• Sturzvorbeugung
• Überprüfung von Medikamenten auf mögliche knochenschädigende oder sturzfördernde Wirkung

Bei vorliegendem hohen Knochenbruch-Risiko wird darüber hinaus eine Behandlung mit speziellen Osteoporose-Medikamenten empfohlen. Das Knochenbruch-Risiko wird dadurch innerhalb von wenigen Monaten erheblich verringert. Vor einer medikamentösen Behandlung der Osteoporose sollte mit dem behandelnden Arzt eine individuelle Nutzen-Schaden-Abwägung erfolgen! Die Behandlung der Osteoporose als chronischer Erkrankung ist (abgesehen von wenigen Ausnahmen) eine Langzeitbehandlung.  Die Dauer der Behandlung ist abhängig vom vorliegenden Knochenbruch-Risiko und der Gesamtsituation der Patientin/des Patienten. Die medikamentöse Behandlung hat nach ihrem Absetzen wahrscheinlich keine längerfristigen nachhaltigen Effekte. Verlässliche Studiendaten dazu liegen nicht vor.

Eine regelmäßige Besprechung mit dem Arzt über die Behandlung (z.B. über die Medikamentenverträglichkeit und Schmerzen nach Brüchen) wird ebenso empfohlen wie die regelmäßige Prüfung des aktuell vorliegenden Knochenbruch- und Sturzrisikos der Patientin/des Patienten. Zur Beurteilung des Behandlungserfolges ist der Knochendichte-Messwert nur eingeschränkt aussagekräftig. Die Wirkung der meisten Medikamente (z.B. Bisphosphonate) auf den Knochen ist mit und ohne Anstieg der Knochendichte gleich gut. Ein deutlicher Abfall der Knochendichte um mehr als 5% in zwei Jahren sollte jedoch zu einer Überprüfung der Therapie führen.

Wie behandelt man mit Wirbelkörperbrüchen verbundene Schmerzen?

Tritt bei einer Osteoporose-Patientin/einem Osteoporose-Patienten ein heftiger Rückenschmerz auf, der längere Zeit anhält, deutet dies auf einen frischen Wirbelkörperbruch hin, auch wenn ein solcher auf dem Röntgenbild anfänglich noch nicht erkennbar ist. Die Schmerzen nach einem Wirbelkörperbruch sind in den ersten drei Monaten ausgeprägt. Sie können eine Schmerzbehandlung im Krankenhaus notwendig machen. Zumeist gehen sie aber nach diesem Zeitraum von selbst zurück oder verschwinden vollständig. In vielen Institutionen wird heute bei akuten Wirbelkörperbrüchen Knochenzement zur Schmerzlinderung in den gebrochenen Wirbelkörper eingebracht. Diese Methode kann zu Komplikationen führen. Es ist auch noch unklar, wann man diese Methode durchführen soll und welchen Nutzen sie im Einzelfall hat. Institutionen, die solche Verfahren anwenden, sollten diese nur in Erwägung ziehen

• nach einer intensiven Schmerzbehandlung über drei Wochen
• wenn es wahrscheinlich ist, dass sich die Schmerzen nicht auf andere gleichzeitig vorliegende Wirbelsäulenbeschwerden zurückführen lassen
• nach ausgiebiger Diskussion mehrerer Experten Langzeiterfahrungen bezüglich der Risiken und des Nutzens der Methoden liegen noch nicht vor. Der Nutzen einer möglichen Aufrichtung der Wirbelkörper durch Knochenzement ist derzeit nicht belegt. Zur Behandlung chronischer Schmerzen infolge zeitlich bereits zurückliegender Wirbelkörperbrüche haben sich krankengymnastische und physikalische Maßnahmen (z.B. Interferenzstrom-Therapie, Wärmetherapie), die Anwendung schmerzlindernder Medikamente und das Tragen von Miedern (Orthesen) bewährt.

Wichtig ist bei chronischen Schmerzen immer auch die Behandlung evtl. Begleiterkrankungen, wie z.B. einer Depression.

Wie können Sie Osteoporose und Knochenbrüchen vorbeugen?

• Vermeiden Sie Untergewicht ! Nehmen Sie täglich ca. 1000 mg Kalzium zu sich, z.B. über den Verzehr von Milch-Produkten und/oder von kalziumreichen Mineralwässern .

• Vermeiden Sie eine Gesamtzufuhr von mehr als 1500 mg Kalzium pro Tag (= gerechnet Kalzium in der Nahrung + in evtl. zusätzlich eingenommenen Kalzium-Tabletten)!

• Sorgen Sie für eine ausreichende Zufuhr von Vitamin B12 und Folsäure !

• Verzichten Sie Ihren Knochen zuliebe auf Nikotin (Rauchen, Schnupftabak)!

• Trainieren Sie Ihre Muskelkraft und Balance mit dem Ziel, die Stand- und Gangsicherheit zu verbessern!

• Betreiben Sie Sturzvorbeugung im Alltag (z.B. über die Beseitigung von Stolperfallen)!

• Bewegen Sie sich täglich mindestens eine halbe Stunde bei Sonnenlicht im Freien! Denn durch Sonnenlicht kann Ihre Haut das für die Knochen und die Vermeidung von Stürzen wichtige Vitamin D bilden. Ziehen Sie alternativ ggf. 800-2000 IE (=Internationale Einheiten) Vitamin D3 täglich (oder eine höhere Dosis in größeren Abständen) in Betracht!

• Überprüfen Sie zusammen mit Ihrem Arzt gezielt die Einnahme und Dosis folgender Medikamente: Antidepressiva, Glitazone (spezielle Medikamente zur Diabetes-Behandlung – nur bei Frauen), kortisonartige Medikamente in Tablettenform, Medikamente, die einen Blutdruckabfall im Stehen verursachen können, Mittel gegen Epilepsie, Psychopharmaka, Schilddrüsen-Hormone, Schlafmittel, spezielle Mittel gegen Magensäure (langjährige Einnahme von Protonenpumpeninhibitoren). Diese Medikamente können unter Umständen Osteoporose und/oder Stürze begünstigen!

No Comments

Sorry, the comment form is closed at this time.